HZA-K: Mit Kokain im Bauch auf Reisen / Kölner ZOLL stellt niederländischen Körperschmuggler im Bus
14.11.2025 - 13:38:03HZA-K: Mit Kokain im Bauch auf Reisen / Kölner ZOLL stellt niederländischen Körperschmuggler im Bus. Köln - Am 4. November kontrollierte der Kölner ZOLL am Fernbusbahnhof des Flughafens Köln/Bonn einen Reisebus auf dem Weg von Den Haag nach Frankfurt am Main.
Bei der Überprüfung aller Fahrgäste und deren Gepäck fiel ein 38-jähriger Niederländer auf. Aufgrund widersprüchlicher Angaben zu seiner mehrtätigen Reise, seinem nervösen Verhalten und dem auffallend geringen Gepäck, wurde an den Handinnenflächen ein Drogenwischtest durchgeführt, welcher positiv auf Kokain reagierte.
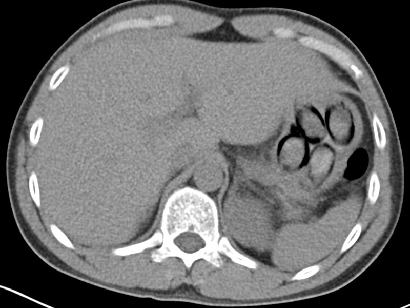
"Die Röntgenaufnahme in einem nahegelegenen Krankenhaus bestätigte letztendlich den Verdacht meiner Kolleginnen und Kollegen, denn im Magen des Mannes waren mehrere Drogenpäckchen klar zu erkennen. Insgesamt schied der Mann dann unter Überwachung sieben sogenannte Bodypacks mit insgesamt mehr als 100 Gramm Kokain aus", so Jens Ahland, Pressesprecher des Hauptzollamts Köln.
In diesem Jahr gingen dem Kölner ZOLL bereits mehrere Körperschmuggler ins Netz. Zu Jahresbeginn stellte ein 50-jähriger italienischer Busreisende mit rund 1,3 Kilogramm Kokain versteckt im Körper einen neuen traurigen Rekord auf und vor wenigen Monaten schmuggelte ein Mutter-Tochter-Gespann insgesamt fast 140 Gramm Heroin in Kondomen verpackt und vaginal eingeführt auf einer Zugreise. (https://www.presseportal.de/blaulicht/pm/121251/6095332)
"Vollkommen egal ob mehr als ein Kilo oder wenige Gramm, jede Art von Körperschmuggel ist extrem gefährlich. Wenn nur ein Päckchen im Körper aufgeht, ist das Leben des Schmugglers nicht mehr zu retten, selbst wenn ein Arzt direkt danebensteht", so Ahland weiter.
Die weiteren Ermittlungen führt das Zollfahndungsamt Essen.
Rückfragen bitte an:
Hauptzollamt Köln
Pressesprecher
Jens Ahland
Telefon: 0221-9413-1008
Mobil: 0151 - 111 74 537
E-Mail: presse.hza-koeln@zoll.bund.de
www.zoll.de
Original-Content von: Hauptzollamt Köln übermittelt durch news aktuell


